CDH1 Linked With New Hereditary Breast Cancer Syndrome

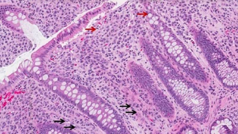
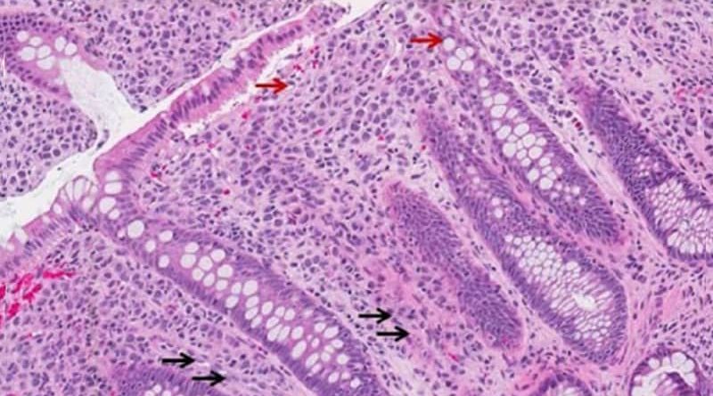
BRCA is no longer the only gene that identifies hereditary breast cancer (BC) syndromes. Pathogenic variants of CDH1 identify a form of hereditary lobular BC (HLBC) that is unrelated to the better-known breast-ovarian syndrome linked to alterations in BRCA1 and BRCA2, according to a recent all-Italian study published in JAMA Network Open…
Read More

Leave a Reply

Your email address will not be published. Required fields are marked *

This website is using cookies to improve the user-friendliness. You agree by using the website further.

Privacy policy
Skip to content